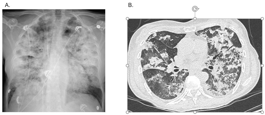
A.Hémorragie intra-alvéolaire (HIA)
Elle survient chez environ 20 % des patients atteints de GPA ou de PAM, et résulte d’une capillarite alvéolaire nécrosante (Figure 5).
Cliniquement, l’HIA se traduit par :
- des hémoptysies,
- et/ou une anémie subaiguë
- et/ou une dyspnée oxygéno-requérante, pouvant évoluer jusqu’à la nécessité d’une ventilation mécanique.
- L’atteinte est ascendante et prédomine classiquement dans les régions pulmonaires basales.

A. Radiographie pulmonaire montrant des condensations alvéolaires diffuses
B. Scanner en coupe transversale montrant des condensations mixtes avec part de verre dépoli intéressant les différents lobes de manière diffuse et non systématisée.
B. Atteinte granulomateuse (GPA)
Les patients atteints de GPA peuvent développer une inflammation granulomateuse pulmonaire, responsable de nodules :
- souvent multiples, bilatéraux,
- fréquemment excavés (≈ 50 %),
- généralement pauci-symptomatiques,
- à prédominance sous-pleurale et péri-bronchovasculaire.
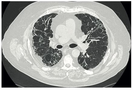
C. Fibrose pulmonaire (VAA-MPO)
Chez les patients avec VAA-MPO, une fibrose pulmonaire diffuse peut être observée (Figure 6). Elle peut se présenter :
- soit comme une atteinte isolée sans signes de vascularite systémique,
- soit comme une complication survenant au décours d’un épisode d’HIA.


